פלאח קליניק – ציפוי שיניים בלי לקרוע את הכיס
בשנים האחרונות עולם רפואת השיניים השתנה מקצה לקצה. לא עוד רק השתלות, כתרים, טיפולי שורש או סתימות, אלא גם עליית שלב בכל הנוגע לאסתטיקה סביב הפה. כן, אנחנו מדברים על עולם ציפויי השיניים, הרי מי מאיתנו לא רוצה שיניים נוצצות וחיוך מושלם?


הבעיה היא המחיר, ציפויי החרסינה הפופולריים כל כך הינם יקרים מאוד, כאשר מחיר של פה שלם יכול להגיע להוצאה של אלפי שקלים ויותר, אולם למדנו כי אפשר גם אחרת, על כך ועוד בכתבה הבאה.
בשנה האחרונה בבסמת טבעון נפתחה קלניקה לטיפולי שיניים, "פלאח קליניק . "Falah clinic
השמועות מספרות כי אל הקליניקה הזו נוהרים אלפי אנשים מכל רחבי הארץ, והסיבה?
בין היתר היכולת לעבור שם טיפול של ציפוי שיניים במחירים לכל כיס בזכות שיטת טיפול חדשנית.
מי שמנהלים את הקליניקה הם אח ואחות, ד"ר באסל פלאח עם ותק של כמה שנים בתחום וד"ר נסרין פלאח שבין היתר עברה הכשרה של הזרקות ב AMC, כך שמעבר לטיפולי והשתלות השיניים הניתנים במקום, היא אחראית גם על עולם אסתטיקת הפנים במרפאה.

שוחחנו עם השניים על מנת לקבל מידע נוסף אחר פעילותם, באופן טבעי השאלה הראשונה שבחרנו לשאול את ד"ר באסל היתה לגבי שיטת ציפוי השיניים המהפכנית ונוחה מבחינת מחיר שהוא מעניק:
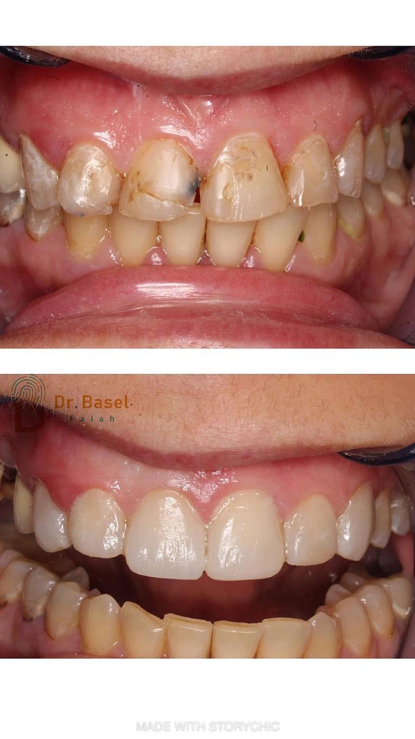
"אני עושה ציפוי שיניים שנקרא ציפוי קומפוזיט (Facing Veneers) ויש לו יתרונות רבים.
מדובר באחד מהטיפולים הפחות יקרים מבין טיפולי השיניים הקוסמטיים ויש לו מספר שימושים.
- בעזרתו ניתן לעצב וללטש שן אחת כך שזו תתאים לשיניים שמסביב.
- ציפוי הקומפוזיט משמש כדי לשפר את המראה של שן שהצבע שלה השתנה או במקרה של שן שבורה.
- ניתן להשתמש בציפוי הזה לסגירת מרווחים בין שיניים או להארכת השיניים.
בכל הנוגע לציפוי שיניים התהליך הוא כזה, אני מגרד וחורט אם יש צורך את פני השן כדי שזו תהיה מחוספסת.
לאחר מכן אני מורח על השן שכבה דקה של נוזל ייצוב המסייע לקשירת החומר, אני משתמש בחומר של הסתימות הלבנות.
לאחר התקשות החומר אני יכול לחתוך ולעצב את השן על מנת לקבל את הצורה והצבע הזוהר".

למדנו כי היתרון בשיטה זו שאין צורך ביותר מטיפול אחד.
ד"ר באסל הסביר:
"בגלל שאני עושה שימוש בחומר של הסתימות הלבנות אני יכול להוזיל את המחירים ביותר משני שליש לעומת ציפוי חרסינה רגיל.
מעבר למחיר יש יתרון נוסף, אומנם מדובר בציפוי שהוא פחות עמיד מציפוי חרסינה, אולם אני רואה בזה יתרון גדול, מכיוון שהשיטה הזו לא שוחקת את השיניים ואת הלסת הנגדית.
טיפול שכזה יכול להחזיק מעמד בין 3 ל 5 שנים ואף יותר, תלוי עד כמה המטופל או מטופלת שומרים על היגיינת הפה".
עוד למדנו כי למרות שמדובר בחומר זול יותר, צריך מיומנות גבוהה ביותר על מנת לעבוד עם ציפוי מסוג זה שד"ר באסל מתמחה בו.

בכל הנוגע לאסתטיקת הפנים ביקשנו לשמוע מד"ר נסרין אילו טיפולים היא מעבירה:
"אני מעניקה טיפולי בוטוקס וחומצה היאלורונית, בעזרת אלו אני יכולה לעשות פיסול של אף, מילוי שפתיים, מילוי קמטים, הוספת נפח ללחיים ולסנטר, הצערת העור ועוד".
ביקשנו ללמוד עוד על חומצה היאלורונית, מאחור וזו עולה לכותרות לא מעט לאחרונה, נסרין סיפרה:
"רבים לא יודעים זאת, אולם חומצה היאלורונית היא חומר טבעי שהגוף מייצר בעצמו.
הבעיה היא שכמות הייצור שלו פוחתת עם הגיל ולכן יש השפעה על העור, הוא מזדקן.
בעזרת הזרקה של החומצה הזו אני יכולה לעצב ולהשיג מחדש את הזוהר ומראה רענן לעור".
"פלאח קליניק", לפרטים נוספים ניתן ליצור קשר בטלפון:
054-6866250



