למעלה מ-300 אבנים בכליות של צעירה שהעדיפה לשתות משקאות מתוקים במקום מים
צעירה בת 20 מטאיוואן, עברה ניתוח יוצא דופן בעיר טאינאן, שבו הרופאים הסירו למעלה מ-300 אבנים בכליות

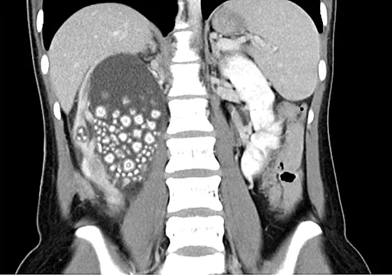
.שיאו צ'ו, צעירה בת 20 מטאיוואן, הרגישה כאבים עזים בגופה. במהלך בדיקה רפואית שלה התגלה כי הכליה הימנית שלה הייתה במצב קריטי כשהיא עמוסה בנוזל ועמוסה בצפיפות בכ-300 אבנים בכליות בגדול של 5 מ"מ ועד 2 ס"מ. מצבה של שיואו יו הסתבך עוד יותר בשל ספירת תאי דם לבנים גבוהה, מה שמעיד על זיהום.
כתבות נוספות:
הצוות הרפואי בבית החולים צ'י מי בטיינאן נקט פעולה מיידית. שיאו יו קיבלה אנטיביוטיקה כדי להתמודד עם הזיהום, ואחריה הליך לניקוז הנוזלים מכליה. השלב שהגיע לשיאו היה ניתוח לחילוץ האבנים הרבות.

הגורם הבסיסי למצב הרפואי יוצא הדופן הזה היה סלידתה של שיאו יו משתיית מים. במקום זאת היא צרכה לעיתים קרובות תה ומיצים מתוקים, מה שהוביל להתייבשות כרונית. מצב זה הביא ריכוזיות גבוהה בשתן שלה, מה שהקל על התגבשות מינרלים והיווצרות אבנים בכליות.
אולי יעניין אותך גם: תאונה בבית החולים: אישה בת 57 נפצעה לאחר שנכנסה לבדיקת MRI עם אקדח
אורולוגים מבית החולים צ'י מי הדגישו את החשיבות של שתייה מרובה של מים על מנת לסייע לגוף לעבד סוכרים, מלח וסידן ביעילות. "הקפידו לשתות מים על מנת שלא תגיעו למצב של שיו יו" הזהיר האורולוג מבית החולים.



