רופא השיניים עקר את השן הלא נכונה וזה נגמר בטרגדיה
אישה מסין עברה טיפול להסרת שן בינה, אך הרופא עקר שן בריאה בטעות, וניסה להחזיר אותה למקומה ללא הרדמה. האישה שמה קץ לחייה לאחר שטענה כי המרפאה מסרבת לקחת אחריות על המקרה

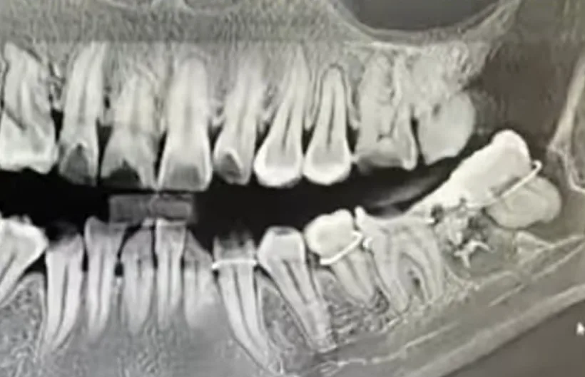
סין: אישה בת 34 מאנחווי, פנתה למרפאת השיניים בבית החולים העירוני אנקינג על מנת לעבור הליך עקירת שן בינה. אלא שלמרבה הצער והאימה, רופא השיניים ביצע את ההליך בצורה שגויה והסיר בטעות שן בריאה.
לכתבות נוספות
- מהיד אל הפה: בני זוג נתקעו לאחר שהצטלמו לאתגר טיקטוק
- ניסה לנתח את עצמו בעזרת סרטוני הדרכה ביוטיוב - והובהל לבית חולים
- המשטרה בנאפולי מחפשת אחר גבר המחופש למיקי מאוס שאיים על תיירים עם סכין
אחיה של האישה, התראיין לתקשורת המקומית וסיפר כי הרופא ניסה לתקן את הטעות שלו ולהחזיר את השן ולקבע אותה עם חוט ברזל. "הניתוח ערך שעה וחצי ללא חומרי הרדמה. אחותי סבלה מכאבים", אמר.
כתוצאה מכך, האיש סבלה מנפיחות בפנים ולא יכלה לאכול מזונות מוצקים במשך מספר ימים. הכאב המתמשך פגם באיכות חייה והיא התקשתה לישון.

האישה דיווחה על המרפאה לרשויות מספר פעמים, אך לדברי אחיה, לא ננקטו שום פעולות. היא פרסמה סרטון ברשתות החברתיות בו היא האשימה את בית החולים ברשלנות, וטענה כי הרישומים הרפואיים שלה שונו על מנת לכסות על הטעות. היא טענה שבית החולים לחץ עליה למחוק את הסרטון, והציע לה השתלת שיניים כפיצוי.
"אף אחד לא באמת התייחס לתקרית הזאת" אמרה בסרטון. "בית החולים שיקר לי מהרגע הראשון וגרם לי לסבל עצום. מי יציל אותי? בגלל הנזק שגרם בית החולים, אני אמות כאן".
אולי יעניין אותך גם: עשה השתלת זקן כושלת בטורקיה והתאבד

ב-17 במרץ, היא חזרה לבית החולים על מנת לנהל עם ההנהלה משא ומתן בנושא. אך למרבה הצער, היא בחרה לשים קץ לחייה וקפצה מהקומה ה-11 של בית החולים.
משפחתה של האישה דחתה את הצעת בית החולים לפיצוי בסך 100,000 יואן (כ-50 אלף שקלים). הם הביעו דרישה לקבל גישה לצילומי מצלמות האבטחה. צוות בית החולים אישר כי הרופא האחראי הושעה, וחקירה של נציבות הבריאות והמשטרה נמשכת.



