לא מומלץ: זה מה שקרה לאיש שאכל כיס מרה של נחש
גבר מסין חלה בצורה קשה לאחר שהתברר כי טפיל באורך 18 ס״מ חי במוחו במשך יותר משנה. הרופאים מעריכים כי נדבק בעקבות אכילת כיס מרה של נחש נא

סין: גבר מהעיר צ'אנגשה פנה לבית חולים לאחר שסבל במשך חודשים מתופעה מוזרה בעיניו. לדבריו, הוא ראה כתמים צפים דמויי "סוס ים" בתוך שדה הראייה, והתופעה רק הלכה והחמירה עם הזמן. עם זאת, בדיקות עיניים רגילות לא העלו כל ממצא.
לכתבות נוספות
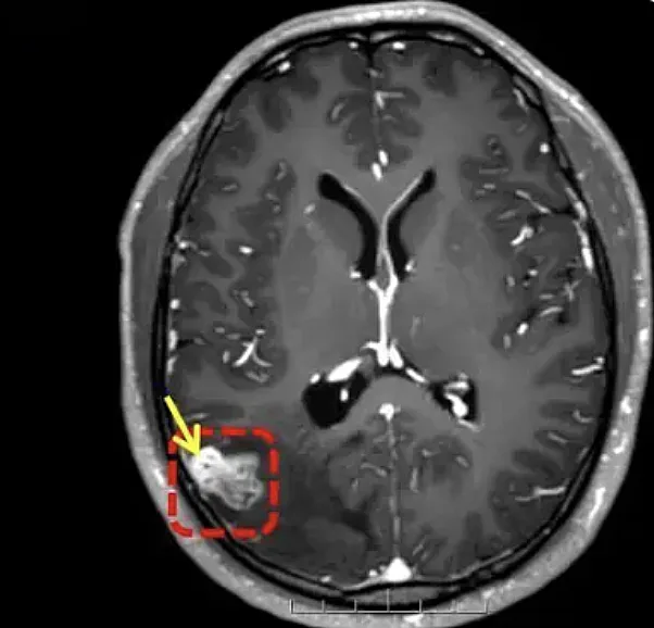
עם זאת, בבדיקת MRI שנערכה באפריל 2024 נמצא במוחו גוף זר. בשלב זה לא היה ברור אם מדובר בטפיל חי או בממצא חריג אחר, אך האיש החליט שלא לעבור ניתוח והמשיך בשגרת חייו.

כשנה לאחר מכן האיש חווה החמרה פתאומית במצבו. הוא סבל מהתכהות ראייה, הקאות, קצף לבן ועוויתות חזקות בגוף. הוא פונה מיד לבית החולים, שם התברר כי במוחו התפתחה תולעת טפילית באורך 18 ס"מ.
הרופאים ביצעו ניתוח מוח פתוח להוצאת הטפיל. לאחר עשרה ימים של טיפול והשגחה, שוחרר האיש במצב יציב.

כשנשאל כיצד ייתכן שטפיל כזה חדר למוחו, נזכר כי לפני כמה שנים תפס נחש ורצה לאכול את בשרו. לדבריו, הוא קרע את בטנו של הנחש, הוציא את כיס המרה, ובלע אותו ישירות מבלי לנקות או לבשל אותו. הרופאים מעריכים שזה היה מקור ההדבקה.
אולי יעניין אותך גם: לאחר שאכל בייקון לא מבושל: הרופאים מצאו תולעת בתוך מוחו
זה אמנם נשמע מוזר, אך בתרבויות מסוימות במזרח אסיה נהוג לצרוך כיס מרה של נחש נא, מתוך אמונה כי יש בו סגולות בריאותיות: שיפור הראייה, ניקוי רעלים וחיזוק הכבד. רבים בולעים אותו ישירות לאחר שחיטת הנחש כדי “לשמור על כוחו”, אך רופאים מזהירים כי מדובר במנהג מסוכן העלול להעביר טפילים חיים לגוף האדם.



